top of page

BENEFICIOS
¿Qué ofrecemos?
ESCÁNER INTRAORAL
Es un dispositivo que se emplea para escanear el interior de nuestra boca y recrearla en formato digital 3D, para poder trabajar sobre esta.

LABORATORIO DIGITAL
Nuestra Clínica dental está equipada con la última tecnología para poder ofrecerte siempre una atención de la máxima calidad.

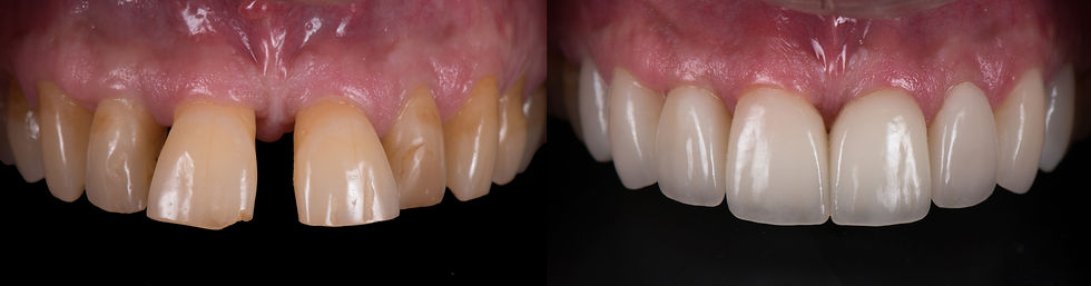
DISEÑO COMPUTARIZADO
Se utiliza para brindar la mayor precisión estética y planeación en los tratamientos. Permite el diseño y la elaboración de carillas, prótesis dentales por ordenador para tu tratamiento restaurativo.

SEDACIÓN INTRAVENOSA
Este tipo de sedación es recomendable para pacientes con fobia al dentista y que han tratado en múltiples ocasiones sentarse en el sillón dental pero la ansiedad ha sido mayor.

bottom of page


